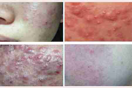
近兰州天气变化无常,昼夜温差大,这样的变化很容易导致皮肤代谢的混乱,导致痤疮(又叫:粉刺,青春痘)频繁出现。我近脸颊突然长了很多痘痘怎么办?>>

温馨提示:我院近期痤疮患者骤增,为避免长时间的排队,患者来诊之前可在点击在线预约医生号来院即可看诊!
兰州治痤疮 优选兰州北大
兰州北大皮肤专科皮肤科由数名国内知名皮肤病医生带头的科研团队,经多年临床经验联合科研攻关研制出"中西医结合祛痘" ,此方法自研发成功后,即应用于临床上。
痤疮是一种慢性炎症,形成原因由内分泌失调,皮脂腺分泌过多,毛囊口堵塞角化异常,丙酸痤疮杆菌感染引起,兰州北大通过皮肤CT皮肤检测,科学分析肌肤,找出痘痘根源和类型,对症治疗。

兰州北大【口碑相传】
兰州北大皮肤专科自建院以来一直遵循国际诊疗高标准,对皮肤常见病、多发病、顽疾及职业病等,真正做到了“专科专病专治”。医院秉承严谨求实的科学态度和诚信求精的行医宗旨,荣获“疑难皮肤病定点诊疗机构”、“西北重点中医皮肤病特色诊疗中心”、“医疗指定技术交流中心”、“中西医特色皮肤病诊疗医院”等多项殊荣。
中西医辩证治疗根据病因、病情攻克痤疮

兰州北大皮肤专科皮肤科在关于青春痘的治疗上,医生组开展临床研究,借鉴先进西药,融合国粹中医,经过30余年的研究和临床实践,独家研发的"中西结合祛痘",利用中药对患者进行身体调理,恢复内分泌平衡,阻断痤疮发病根源。深层清除皮肤多余油脂,消除红肿状况;再除去青春痘杆菌,溶解角质,拔出痘根;然后修复受损肌肤,刺激皮下胶原增生,淡疤平疮;后淡化痘印痘疤,让皮肤白净细滑。
中西医结合治疗痤疮4大优势:
1、三效合一
排毒、杀菌、修复受损细胞,三效合一,阻断病灶。
2、内外兼治
中药调理排毒+激光治疗系统,快速排除体内毒素,促进表皮修复。
3、美观痕
特制中药倒膜深层清洁毛孔,修复外部疤痕和痘印,收缩毛孔,重塑光洁皮肤。
4、纯绿色,无伤害
纯中药治疗,并辅助一些治疗仪,使病变部位可恢复到平滑肌肤的状态,对身体无伤害
看病,选择专业医生很重要
兰州北大皮肤专科聚集一批经验丰富的痤疮诊疗医生,擅长根据患者具体的病情病症,准确诊断,科学治疗。到院痤疮等皮肤病患者均由皮肤科医生一对一亲诊,并制定科学治疗方案,保障优质疗效。至今,已有大量痤疮患者在该院接受治疗,获得康复。

兰州北大【按医改标准收费】
兰州北大皮肤专科作为“疑难皮肤病定点诊疗机构”、“西北重点中医皮肤病特色诊疗中心”、“医疗指定技术交流中心”、“中西医特色皮肤病诊疗医院”,痤疮等皮肤病项目的诊疗费用,均严格按医改标准收费,合理规范,并接受审核和监督,做到公开、公示,其透明规范的收费制度,患者就诊放心。

就诊需知:
1.我院就诊患者较多,请提前网上预约挂号【点击预约挂号】
2.接诊时间:8:30—19:00(节假日不休)
温馨提醒:为了避免到院后医生号已满或排队挂号的现象发生,我院现已开通网络预约挂号绿色通道。就诊前请先点击咨询了解医生号详情或提前网络预约挂号,以免到院后排队等候。如还有疑问,请拨打热线:13919326290(点击可直接拨打)咨询详情。







